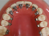
Halk arasında “görünmeyen diş teli” olarak bilinen Lingual tedavide, diş telleri, dişlerin arka yüzeyinden uygulanıyor.

Son 10 yılda estetik ortodonti alanında meydana gelen teknolojik gelişmeler ortodontistlere, hastalarına başkaları tarafından fark edilmeyecek ve konuşma zorluğu oluşturmayacak şekilde tasarlanmış tedavi yöntemleri sunuyor.
İngiltere Cambridge Düşesi Prenses Kate Middleton’ın da düğün öncesi tercih ettiği bu yöntemlerden biri olan lingual tedaviyi Dr. Cem Caniklioğlu anlattı.?? Diş teli tedavisi çarpık dişlerin düzeltilmesi için uygulanıyor. Öte yandan takıldığı dişte hoş olmayan bir görüntüye sebep olduğu için birçok kişi tarafından tercih edilmiyor.
Lingual tedavide ise diş telleri dişlerin görünmeyen yani arka yüzeyinden uygulanıyor ve tedaviyi kimse fark etmiyor.??Estetik görünümün büyük önem taşıdığı okul çağındaki genç kızlar için estetik ortodonti alanındaki gelişmeler büyük önem taşıyor. Çünkü bu gelişmeler sayesinde genç kızların kabusu olan diş telleri, dişlerin arka yüzeyine takılabiliyor ve çarpık diş tedavisi ağızda bir sır olarak devam ediyor.
Lingual (görünmeyen diş teli) tedavisi nasıl yapılıyor?
Dişlerin dil tarafı anlamındaki lingual kelimesinden adını alan bu tedavi yöntemi halk arasında“görünmeyen diş teli” olarak da biliniyor. Diş hekimi olan Dr. Cem Caniklioğlu’ndan tedavi sürecini şöyle anlatıyor: ??“Hayatımızı sürdürmek için vücudumuzda kullandığımız en önemli bölümlerden biri ağızdır. Ağzımızın konforu bozulduğu zaman sosyalleşmemiz, beslenmemiz, kendimizi ifade etmemiz zorlaşır.
Estetik görünüme önem veren genç kızlar okul döneminde çapraşık diş tedavisini reddetmektedir. Ancak bakıldığında dişlerindeki bozukluk hayatları boyunca onları mutsuz ve rahatsız edecektir. Lingual tedavide, çapraşık diş tedavisinde kişiye özel üretilen telleri, dişlerin görünmeyen yüzünden yani arkasından uygulanır ve tedavi boyunca kişinin yaşamı teller yüzünden olumsuz etkilenmez. Bu teknik ikinci kişiler tarafından görünmesi mümkün olmadığı için çarpık dişler ya da diş telleri kişilerin hayatlarında sorun olmaktan çıkar.”
Kaynak: Hürriyet Aile
MAKALELER
-
20 Yaş Dişlerinin Çekilmesi Gereken Durumlar -
Hamilelikte Diş Tedavisi -
Sağlık Ağızdan Başlar -
Diş Hekimliğinde Ozon Tedavisi
